Лечение онкологии на сегодня – это одно из важнейших направлений в развитии мировой медицины. Раннее обращение за врачебной помощью становится важнейшим фактором излечения. Сегодня ведутся активные разработки все новых способов лечения рака разной локализации, в том числе опухолей головного мозга.
Ученые отыскали средство от опасного рака мозга
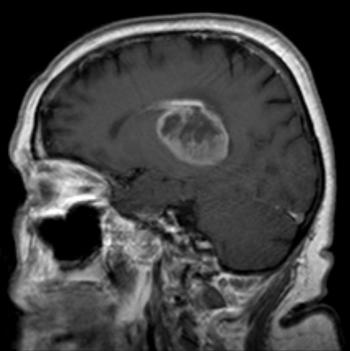
Глиобластома — опухоль головного мозга, имеющая внутритканевые очаги некроза. Глиобластомы формируются преимущественно в области коры больших полушарий в височной либо фронтальной доле. У глиобластом нет четкого контура, и это существенно осложняет последующее лечение. Для глиобластомы головного мозга присущи быстрое появление и прогрессирование симптомов.

Зачастую глиобластома переходит на главные доли головного мозга (они известны и как полушария), однако могут быть обнаружены и в прочих частях мозга. Как правило, такие опухоли обнаруживают слишком поздно, в этом случае они нередко врастают и в иные области мозга, даже на расстоянии от главного очага, однако редко покидают пределы самого мозга. Глиобластому каждый год диагностируют приблизительно у 13 тысяч людей в Европе.
Глиобластома считается одним из наиболее агрессивных типов опухоли мозга. Продолжительность жизни после того, как был поставлен такой диагноз, в среднем - около 10-12 месяцев. Данная опухоль лечится непросто. Также ее знают как опухоль с большой частотой рецидивирования. Такая особенность глиобластом связана с особенной субпопуляцией клеток рака (стволовые клетки глиомы). Они могут восстановиться после проведения химиотерапии.
Ученые из США посвятили многие годы исследованию такой субпопуляции клеток, им удалось обнаружить: в этих структурах имеется значительная концентрация фермента CDK5. Блокируя CDK5, удается прекратить разрастание образования. Ингибитор CDK5 получает имя CP681301.
Исследователи оценили результативность такого блокатора фермента CDK5 при лечении 3 главных разновидностей глиобластом. Ими было выявлено: при мезенхимальных формах глиобластомы содержание CDK5 почти не возрастало. По оценке ученых, новую разработку можно применять в ходе лечения нейронального, а также классического типов глиобластом.
Прогнозы излечения данной болезни зависят от целого ряда составляющих, в частности - от распространения процессов, масштабов образования, его связи с разными структурами головного мозга, а также верности и своевременного начала начала лечебных процедур.
Основные достоинства лечения рака в Израиле
Медицинские центры, располагающиеся на территории Израиля, обычно располагают инновационной аппаратурой, а сотрудники, которые тут работают, обладают обширным практическим опытом и высочайшей квалификацией в этом направлении.
На сегодня в стране действует целый ряд прогрессивных онкоцентров со специализацией в лечении рака. Уже долгие годы действует отделение онкологии в МЦ Меир, государственной клинике, где с успехом излечивают практически любые формы онкологии.
Диагностирование рака в израильских центрах базируется на мировых стандартах и протоколах. К тому же здесь проводятся постоянные разработки в направлении раннего выявления опухолей.
Тут ведется разработка инновационных методов борьбы с раком, противораковых лекарств новейшего поколения, что помогает достичь наибольшей результативности, улучшив процент выживаемости онкологических пациентов. Специалисты учреждения неизменно сотрудничают с лидирующими онкоклиниками прочих зарубежных стран, в частности - с онкологами государств Западной Европы, Америки. Сотрудники клиники активно участвуют в совместных экспериментах и изысканиях. В онкологическом отделении больницы с больными работают доктора самой высокой квалификации, известные во всем мире, профессионалы в направлении онкологии и психологи, а также внимательный и доброжелательный персонал.
Специалисты, которые трудятся в отделении онкологии центра «Меир», не просто следят за результом применения той или другой методики лечения, а и предоставляют разноплановую психологическую поддержку своим пациентам. При таком комплексном многопрофильном подходе лечение онкологии в Израиле востребовано среди пациентов всего мира.
Тут подходят к каждому из пациентов персонально, применяя комплексные методы лечения онкозаболеваний (часть таких методик уникальна, они не используются более нигде в мире).