Еркрамас

Понедельник, 09 февраля 2026 года
Гарегин Нжде
  RSS     Русский   Հայերեն            
  • Главная
  • Новости
  • Политика
    • Оппозиция
    • Выборы
    • Парламент
    • Дипломатия
    • Ай Дат
    • ООН
    • ПАСЕ
    • ОБСЕ
  • Закавказье
    • Армения
    • Грузия
    • Азербайджан
    • Арцах (Карабах)
    • Джавахк
    • Абхазия
    • Аджария
    • Нахичеван
  • Экономика
    • Туризм
    • Информационные технологии
  • Армия
    • Война
    • Безопасность
    • Терроризм
    • ОДКБ
    • НАТО
  • Диаспора
    • Памятник Андранику в Краснодарском крае
    • Конференции
  • Общество
    • Здравоохранение
    • История армянского народа
    • История
    • Наука
    • Образование
    • Благотворительность
    • Религия
    • Миграция
    • Личности
    • Молодежь
    • Беженцы
    • Дети
    • Ветераны
    • Женщины
    • Просьбы о помощи
    • Экология
    • Армения и Кавказ
    • Криминал
    • Ксенофобия
    • Вандализм
    • Катастрофы
    • Происшествия
    • Видео
    • Аудио
    • Юмор
  • Аналитика
    • Аналитика Лаврентия Амшенци
    • Опросы
    • Опрос ИЦ "Еркрамас"
    • Круглый стол ИЦ "Еркрамас"
    • Наши пресс-конференции
    • Рейтинг-лист ЦЭПИ
    • Статистика
    • Интервью
    • Обзор прессы
  • Культура
    • ЮНЕСКО
    • Шоу-бизнес
  • Спорт
    • Олимпиада в Лондоне — 2012
    • Олимпиада в Сочи — 2014
    • Футбольное обозрение
  • Мир
    • Россия
    • Турция
    • Ближнее зарубежье
    • США
    • Израиль
    • Европа
    • Германия
    • Греция
    • Франция
    • Великобритания
    • Украина
    • Кипр
    • Африка
    • Азия
    • Армяне в Турции
    • Казачество
    • Езиды
    • Курды
  • О нас
  • ПАРТНЕРЫ
РАСШИРЕННЫЙ ПОИСК

Профессиональное отбеливание зубов ZOOM 4

26.11.2019   
  
просмотры: 3386


Белоснежная улыбка во все времена была показателем красоты и успешности. Красивые и ровные зубы не только являются признаком здоровья, но и добавляют уверенности их обладателю. Именно поэтому, все больше популярности набирает процедура отбеливания не только дома, при помощи подручных средств, но и в профессиональных стоматологических клиниках. Но прежде чем решиться на процедуру по отбеливанию зубов, нужно основательно оценить все риски и ответственно подготовиться к проведению процедуры. Необходимо четко понимать, что получение белоснежной улыбки имеет не мало противопоказаний, на которые стоит обратить свое внимание.

Какими способами можно отбелить зубы

Отбеливания зубов – косметическая процедура, которую можно выполнить как дома, так и в стоматологической клинике. Современная медицина постоянно совершенствуется, не исключением стала и стоматология. Ежегодно появляются новые способы щадящего и безопасного отбеливания, оказывающего минимальное влияние на здоровье зубов пациента. Самым простым способом осветления зубной эмали, является применение специализированных паст, наносить которые нужно в домашних условиях. Недостатком такой процедуры, является незначительный и недолговечный результат.

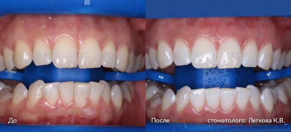
пример выполненной процедуры отбеливания зубов ZOOM 4

Одной из популярной и результативной процедурой отбеливания зубов в профессиональной стоматологии, является отбеливание по технологии ZOOM.

Что такое отбеливание по технологии Zoom?

Отбеливание зубов Zoom – это осветление эмали под действием химического вещества. Такой способ осветления является наиболее результативным и быстрым из всех возможных вариантов отбеливания в современной стоматологии. В качестве отбеливающего вещества используют раствор с высокой кислотностью, в основу которого входит перекись. Смысл процедуры заключается в том, что под действием специальной лампы, происходит раскрытие пор, через которые в эмаль проникает активное вещество, осветляющее зубы на несколько тонов.

Преимущества отбеливания Zoom 4

Данная технология обладает достаточным количеством преимуществ, а именно:

  1. быстрота проведения отбеливания. Время сеанса занимает примерно 1,5 часа;
  2. высокие показатели эффективности данной процедуры. Все пациенты и стоматологи отмечают заметное осветление зубной эмали;
  3. процедура абсолютно безопасна для десен.

Недостатки осветления эмали Zoom

Несмотря на большое количество преимуществ, данная процедура имеет и ряд значительных недостатков, на которые стоит обратить внимание:

  • неизбежно увеличение чувствительности зубов после проведения процедуры. Некоторые пациенты утверждают, что в течение 3 дней испытывают невероятную боль с которой не могут справиться даже обезболивающие средства;
  • высокая стоимость процедуры не делают ее доступной для многих пациентов;
  • после процедуры необходимо дополнительно посетить стоматолога и сделать реминерализацию эмали;
  • метод категорически не подходит пациентам, имеющим слишком чувствительные зубы.
  • после процедуры на протяжении всего времени стоит остерегаться красящих продуктов и забыть о кофе, так как эмаль станет очень чувствительна к разному роду красителей;
  • недолговечность процедуры. Сделав отбеливание один раз, нужно будет периодически поддерживать результат;
  • эмаль может осветлиться неравномерно.

Кому рекомендовано отбеливание зубов по технологии Zoom

О таком способе отбеливания сразу нужно забыть тем пациентам, у которых зубы достаточно сильно реагируют на тепло и холод. Также лучше не использовать технологию Zoom тем пациентам, у которых зубы не требуют радикальных мер преображения.

Девушки с неравномерным оттенком зубов могут использовать данную систему отбеливания, но стоит быть готовым к тому, что придется постоянно повторять эту процедуру в кабинете стоматолога, либо воспользоваться домашней системой поддержания результата.

Если на передних зубах имеются пломбы, нужно знать, что процедура осветления на них не подействует и после осветления придется ставить новые, более светлые, пломбы.

Предварительная подготовка к отбеливанию зубов по технологии Zoom

Несмотря на все вышеперечисленные недостатки, желающих иметь белоснежную улыбку с каждым годом становится все больше и больше. Прежде чем приступить к отбеливанию зубов по технологии Zoom 4 нужно обязательно пролечить все не здоровые зубы. Все проблемы с ротовой полостью необходимо решить преждевременно. До проведения процедуры в течение двух недель нужно проводить чистку зубов пастой, снижающей чувствительность. Важно не пренебрегать этим этапом, чтобы уменьшить риск возникновения болезненных ощущений после отбеливания.

Схема проведения отбеливания зубов Zoom 4

Схема отбеливания по технологии Zoom 4 состоит из следующих этапов:

  1. для каждого пациента в стоматологической клинике имеется индивидуальный набор для проведения процедуры;
  2. для фиксации в ротовую полость помещается специальный расширитель;
  3. на зубы предварительно наносится защитная паста, уменьшающая их чувствительность;
  4. десна и слизистую закрывают специальным силиконовым покрытием, некоторые врачи используют гель, который наносится непосредственно на десна;
  5. на зубы наносится осветляющий состав, который в дальнейшем просвечивается лампой.

Стоматологи делают три подхода сечения лампой, при этом после каждой процедуры наносится новый слой отбеливающей пасты.

пример выполненной процедуры отбеливания зубов ZOOM 4

Уход за зубами после осуществления отбеливания

После проведения процедуры осветления зубной эмали, нужно строго выполнять рекомендации стоматолога:

  • необходимо пользоваться только специализированными пастами, укрепляющими эмаль зубов;
  • ночью использовать капы, не только лечащие, но и восстанавливающие зубы;
  • после приема пищи обязательно полоскать рот;
  • отказаться от красящих продуктов.

Стоматологи советуют первое время принимать только белую пищу, исключить красящие напитки и сигареты.

Источник: https://seline.ru/.

Теги: стоматология, отбеливание зубов, Новости, разное

ЕСЛИ ВЫ ЖЕЛАЕТЕ ОКАЗАТЬ ПОДДЕРЖКУ ИНФОРМАЦИОННОМУ ЦЕНТРУ «ЕРКРАМАС», ПРОСИМ ДЛЯ ВЗНОСОВ ВОСПОЛЬЗОВАТЬСЯ РАЗМЕЩЕННЫМИ НИЖЕ РЕКВИЗИТАМИ:
Карта Сбербанка –
Карта Юмани –

Благодарим



На главную



Регистрация Войти
РАСШИРЕННЫЙ ПОИСК

лента новостей

21:18 Эффект Пелоси: чего не стоит ждать от визита Вэнса в Армению и Азербайджан?
20:52 "Aрцах" прозвучит на Олимпиаде в Италии
20:21 Единство — единственный путь спасения и возрождения: Всеармянский общественный альянс (видео)
16:02 Хуан Боселли готовится к переходу в "Краснодар": условия сделки и детали контракта
15:55 Карабахское движение продолжается
15:13 На СВО погиб награжденный Путиным командир Армянского батальона "АрБат" Айк Гаспарян
14:41 Константин Затулин: Полагаю, что $5 млрд., которые Алиев предлагал Саргсяну, взял Пашинян
14:32 "Гибридный" визит властей Вагаршапата в Россию
14:19 Финансовый рычаг в малом бизнесе: баланс рисков, доходности и разумных решений
13:26 Определение оптимальной частоты уборки в офисных помещениях
08:42 Видеоновости Армении и Диаспоры за неделю (2 февраля – 8 февраля)
13:01 "Вы — нам, мы — вам": пожертвования бизнесменов в пользу партии власти и фонда Анны Акопян
12:37 Эдгар Акобян спас номер российского фигуриста на Олимпиаде в Милане
12:18 "Хорошим и правильным людям": Маргарита Симоньян учредила премию имени Тиграна Кеосаяна
10:04 Ужасающие пропагандистские тезисы пашиняновцев
00:29 Как победить бедность в отдельно взятом кармане: "семейный подряд" правящего клана Армении
23:32 Овнан Тертерян едет в Австрию шпионить для Пашиняна
23:14 Нестандартные размеры холодильников: решения для маленькой кухни или узких ниш
17:54 Первый коммерческий суперкомпьютер в Армении начнет работу с 1 апреля
17:32 Константин Затулин: Меня не впечатляют обиды Азербайджана на заявление Лазаревского клуба
15:29 Дата выборов в парламент Армении известна: Предвыборная агитация начнется в мае
15:19 Каждый день пребывания Пашиняна у власти – это позор для России и для армянского народа